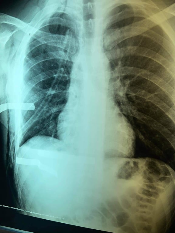
أعلنت مدينة الإمام الحسين ( عليه السلام ) الطبية في كربلاء المُقدسَة ، الإثنين ، عن " نجاح أحد اطبائها في إنقاذ حياة زائرُ من مُحافظة البصرة يبلغ من العمر 24 عاماَ بعد سقوطه على سيخ معدني ( شيش ) خلال مُشاركته في خدمة الزائرين ، وأدى الى إختراق جدار الصدر وغشاء التامور وإصابة قلبه " .
وقال أخصائي جراحة القلب والصدر والأوعية الدموية ، الدكتور حسنين العكلة الموسوي ، في بيان صحفي تلقت ( وكالة نون الخبرية ) نسخة منه ، إنه " نجح وبمًساعدة أخصائي التخدير ، الدكتور كفاح عودة ، والمُقيم الأقدم ، رُسل عبد الرضا ، في إنقاذ حياة أحد زائري الأربعين من خدمة المواكب الحُسينية بعد سقوطه على سيخ معدني ( شيش ) ، وأصاب قلبه إصابة بليغة " ، مُبيناً أن " المصاب كان فاقداَ للوعي لحظة وصوله إلى صالة الطوارئ ، وبحالة صدمة وعائية حادة ، بسبب النزف وكانت حالته حرجة جداً ، غير إن تدخل العناية الإلهية والخبرة الجيدة التي يتمتع بها الملاك الطبي في التعامل مع الحالات المرضية الطارئة والحرجة " ، فضلاً عن " توفر الأجهزة الطبية التخصصية الحديثة ومن مناشئ عالمية رصينة ومتطورة ، جعل الأمور تسير بشكل طبيعي ".
وتابع ، أن "العملية إستمرت نحو ساعتين ، وتُعد من العمليات النادرة جدا التي يتم فيها إنقاذ المصاب في القلب ، حيث تمكنّا خلالها من فتح الصدر ، وإصلاح عضلة القلب المتضررة الى جانب السيطرة على النزف فيها"، مؤكداً أن "المصاب إستعاد وعيه ، بعد تماثله للشفاء تدريجياً ، وإستقرار وضعه الصحي ، وغادر المدينة الطبية بعد رقوده فيها لمدة أربعة أيام وهو بصحة جيدة ". ولفت الموسوي ، إن " الملاك التمريضي المُشارك في العملية ، كان مؤلفاَ من (وسام صالح مهدي، ونجم عبد الزهره عبد علي ، وضرغام صبيح حمادي ، وحوراء رضا يحيى ، وكرار علي كاظم)


.jpg)
وكالة نون الخبرية .. سليم كاظم
التعليقات (0)
لا توجد تعليقات بعد. كن أول من يعلق!