RSS
2026-04-20 13:17:57

ابحث في الموقع

كربلاء: إنقاذ حياة طفل من محافظة دهوك مصاب بمرض نادر في الدماغ والنخاع في مستشفى الإمام زين العابدين (صور)

كربلاء: إنقاذ حياة طفل من محافظة دهوك مصاب بمرض نادر في الدماغ والنخاع في مستشفى الإمام زين العابدين (صور)
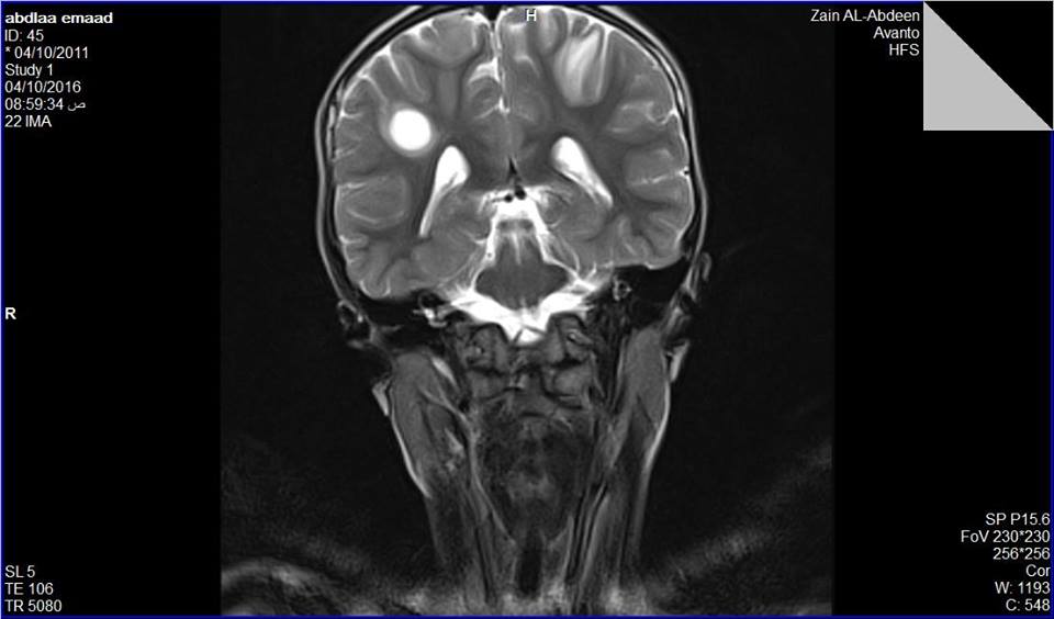
تمكن أخصائيي أمراض الأطفال والأمراض العصبية في مستشفى الإمام زين العابدين عليه السلام، التابع للعتبة الحسينية المقدسة، من معالجة طفل من محافظه دهوك مصاب بالتهاب الدماغ والنخاع المنتشر المتكرر، بالعلاج الوريدي والعلاج الفموي، وبدون تداخل جراحي. وذكر الإعلامي في مستشفى الإمام زين العابدين عليهم السلام مصطفى الموسوي لوكالة نون الخبرية، بأنه ادخل الطفل (ع.ع - عمره خمس سنوات وشهرين) من محافظه دهوك في قسم الأطفال في مستشفى الإمام زين العابدين عليه السلام، وكان يعاني ضعف عضلي مترقي واضطراب بالمشي (عدم ثبات وسقوط) بحسب رئي الأطباء. فيما بين اختصاصي الأمراض العصبية د.بشار زهيرة واختصاصية أمراض الأطفال د.سندس خضر المشرفين على علاج الطفل، بأنه بعد إجراء الاستقصاءات الشعاعية والمخبرية اللازمة، بين التصوير بالرنين المغناطيسي ثلاث بؤر مزيلة للنخاعين (اثنان بنصف الكرة المخية الأيمن وواحدة في نصف الكرة المخية الأيسر)، إن هذه حالة تعتبر سريرية ونادرة وتم استبعاد جميع الحالات التي تدخل بالتشخيص التفريقي. وأضاف اختصاصي العصبية والأطفال بأنه تم العلاج الطفل وريديا لمدة ستة أيام بالمستشفى وحدث تحسن سريري دراماتيكي، حيث اخرج بعدها من المستشفى معتمدا على العلاج الفموي لمدة ثلاثة أشهر مع التوصيات الطبية الخاصة وتم إجراء أعادة لصورة الرنين المغناطيسي بعد ثلاثة أشهر وحالياً الطفل بحالة عامة جيدة ولا يعاني من أي ضعف عضلي ونشاطه الفيزيائي طبيعي. وحول هذا المرض بين الأطباء الاختصاصيين، إن هذا المرض ينتج عن التهاب الدماغ والنخاع المنتشر الحاد آفات التهابية متعددة تصيب الدماغ والنخاع الشوكي، وخاصةً المادة البيضاء في الجهاز العصبي المركزي،وتوجد معظم هذه الآفات عادةً في المادة البيضاء الوسطى وتحت القشرية والمَوصِل القشري الأبيض والرمادي في كُلٍّ من نصف الكرة المخية والمخيخ وجذع الدماغ والنخاع الشوكي كذلك قد تهاجم المادة البيضاء المحيطة بالبطين، وفي حالة تعرض المريض لأكثر من نوبة من زوال الميالين، يُسمى المرض في هذه الحالة التهاب الدماغ والنخاع المنتشر المتكرر أو التهاب الدماغ والنخاع المنتشر متعدد الأطوار (MDEM)، وان نسبة انتشار المرض على مستوى العالم يصل إلى (8) أشخاص من كل مليون نسمة سنويًا. محسن الحلو خاص بوكالة نون الخبرية
التعليقات

لا توجد تعليقات بعد. كن أول من يعلق!