كشف مدير اعلام وزارة الصحة في اقليم كوردستان الدكتور خالص قادر عن تسجيل ما يقارب من 1000 حالة اصابة بمرض السل الرئوي سنويا في عموم الاقليم .
واوضح قادر لوكالة نون الخبرية اليوم الثلاثاء " يصنف مرض السل الرئوي ضمن الأمراض العضال وهو موجود في جميع دول العالم , لافتا الى ان إقليم كوردستان يسجل سنوياً نحو 1000 حالة إصابة به وهي نسبة تكون مستقرة نسبيا قياسا بالاعوام الماضية , مؤكدا ان وزارة الصحة في الاقليم تسعى جاهدة لمكافحة المرض تتمثل بفتح مؤسسات صحية خاصة بهذا المرض تعمل على خدمة المصابين من اجل تقليل نسبة الاصابات للوصول الى الهدف المنشود وهو القضاء عليه بشكل كامل .
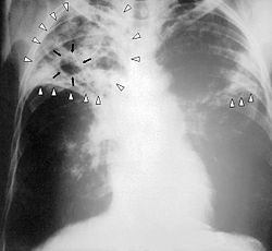
ويعتبر مرض السل الرئوي من الامراض القديمة تسببه بكتيريا تسمى الميكروبكتيريوم. وهو مرض معدي وينتقل من مريض الى أخر عن طريق الهواء.وبعضه عن طريق تناول أكل ملوث(كالألبان). وغالبا مايصيب الجهاز التنفسي(الرئتين ) وعلاجه يحتاج الى مدة تتراوح بين 6 اشهر الى سنة ونسبة نجاحه تبلغ 95% , 50% من مرضى السل يلقون حتفهم خلال 5 سنوات إذا تركوا بغير علاج ومعظم الباقين يصحبون في حالة صحية سيئة , واذا لم يعالج المصاب سيعدي من 5 – 10 اخرين .
وتذكر الاحصائيات ان 1% من سكان العالم يصاب سنويا والوفيات تصل الى 2,7 مليون شخص كل عام , اغلب مرضى السل تتراوح اعمارهم من 15 – 49 سنة , وهناك 900 مليون امرأة مصابة بالمرض في العالم , والمرض تسبب منذ عام 1882 ميلادي وحتى الان بوفات 200 مليون شخص , حيث يموت شخص واحد على الاقل كل 4 ثوان .
مصطفى جميل
وكالة نون
واوضح قادر لوكالة نون الخبرية اليوم الثلاثاء " يصنف مرض السل الرئوي ضمن الأمراض العضال وهو موجود في جميع دول العالم , لافتا الى ان إقليم كوردستان يسجل سنوياً نحو 1000 حالة إصابة به وهي نسبة تكون مستقرة نسبيا قياسا بالاعوام الماضية , مؤكدا ان وزارة الصحة في الاقليم تسعى جاهدة لمكافحة المرض تتمثل بفتح مؤسسات صحية خاصة بهذا المرض تعمل على خدمة المصابين من اجل تقليل نسبة الاصابات للوصول الى الهدف المنشود وهو القضاء عليه بشكل كامل .
ويعتبر مرض السل الرئوي من الامراض القديمة تسببه بكتيريا تسمى الميكروبكتيريوم. وهو مرض معدي وينتقل من مريض الى أخر عن طريق الهواء.وبعضه عن طريق تناول أكل ملوث(كالألبان). وغالبا مايصيب الجهاز التنفسي(الرئتين ) وعلاجه يحتاج الى مدة تتراوح بين 6 اشهر الى سنة ونسبة نجاحه تبلغ 95% , 50% من مرضى السل يلقون حتفهم خلال 5 سنوات إذا تركوا بغير علاج ومعظم الباقين يصحبون في حالة صحية سيئة , واذا لم يعالج المصاب سيعدي من 5 – 10 اخرين .
وتذكر الاحصائيات ان 1% من سكان العالم يصاب سنويا والوفيات تصل الى 2,7 مليون شخص كل عام , اغلب مرضى السل تتراوح اعمارهم من 15 – 49 سنة , وهناك 900 مليون امرأة مصابة بالمرض في العالم , والمرض تسبب منذ عام 1882 ميلادي وحتى الان بوفات 200 مليون شخص , حيث يموت شخص واحد على الاقل كل 4 ثوان .
مصطفى جميل
وكالة نون
التعليقات
لا توجد تعليقات بعد. كن أول من يعلق!